Blanqueamiento dental Sevilla
Unos dientes más blancos. Una sonrisa más atractiva. En solo 2 horas.
Dale luminosidad a tu sonrisa en un tiempo récord y de una forma segura.
Descubre nuestro tratamiento de blanqueamiento dental en Sevilla.
Dobleese > Estética dental > Blanqueamiento dental Sevilla
Blanqueamiento dental Luz LED en Sevilla
El tratamiento más rápido y eficaz para blanquear tus dientes
Un pequeño cambio con grandes resultados
Con un tratamiento de blanqueamiento dental Luz LED puedes conseguir una sonrisa más luminosa y atractiva en poco tiempo.
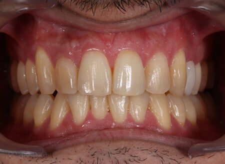
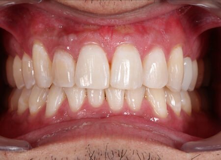
Descubre algunos de los casos de blanqueamiento dental en Dobleese.





El proceso
Decidir es más fácil cuando tienes referencias
Consulta lo que nuestros pacientes quieren contarte acerca de su experiencia.
Un trato excelente y garantía de éxito en cualquiera de los servicios que busques pueden definir a esta clínica dental en la que te sientes como en familia. Vinimos animados por sus buenas valoraciones y, sin duda, acertamos. A día de hoy se ha convertido en la clínica dental de referencia de toda la familia, ofreciendo un servicio siempre excepcional.
Teresa Cintas
Excelentes profesionales y maravilloso trato. Totalmente recomendable!!! Acudí a Dobleese después de pasar por varias clínicas dentales, y me han dado solución a mis problemas de encías de forma rápida y eficaz. Tras ello opté por un blanqueamiento dental del que he quedado totalmente satisfecha. Gracias!!!
María Jose Peñalosa
La respuesta a todas tus preguntas sobre blanqueamiento dental
¿Tienes otras preguntas?
Estamos aquí para ayudarte. Despeja todas tus dudas antes de tomar una decisión. Te explicamos todo de forma sencilla y cercana.
Otros tratamientos relacionados
Carillas dentales >
Coronas y fundas dentales >
Blanqueamiento dental Sevilla >
Diseño digital de la sonrisa >
Ortodoncia Sevilla >



