Caso real
«Me imaginaba el proceso de las carillas más largo y doloroso. En solo dos citas y prácticamente sin tocarme los dientes, he conseguido el resultado que esperaba»
ASUNCIÓN
Dobleese > Dientes Antes Después > Asunción
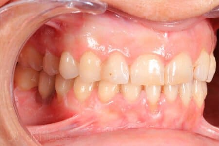
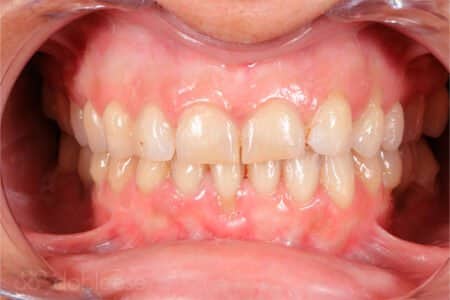
El antes y después


Historia
La historia de Asunción
Asunción llegó a nuestra clínica insatisfecha con la estética de su boca. Al estudiar su caso, le realizamos un diseño digital de sonrisa (DSD) en el que le mostramos el resultado que podían alcanzar sus dientes con algo más de longitud y tonos más blancos.
Le propusimos comenzar con nuestro protocolo de saneamiento de encías, ya que las tenía bastante inflamadas a causa de la gingivitis. Este proceso consiste en sanear toda la boca disminuyendo, lo máximo posible, la presencia de bacterias, para alcanzar posteriormente una adecuada desinflamación de los tejidos.
Una vez desinflamados, realizamos una cirugía mucogingival para recubrir las raíces que quedaban expuestas en los caninos y en los dientes inferiores. Con ello, conseguimos situar la encía en sus niveles originales, al mismo nivel que las piezas dentales vecinas, eliminando así la retracción de estas.
Cuando finalizamos este proceso, le colocamos carillas de porcelana, consiguiendo así el cambio que ella estaba buscando. Ahora Asunción disfruta de su nueva sonrisa saludable y duradera, con un aspecto natural.
Algunos casos de pacientes que han mejorado su salud y estética dental
Información acerca de nuestros casos reales
- Todos los casos expuestos han sido realizados en Clínica Dental Dobleese y por su equipo.
- Todas las imágenes y vídeos de los casos expuestos pertenecen en exclusiva a Clínica Dental Dobleese.
- No se permite su distribución sin el consentimiento expreso de Clínica Dental Dobleese.
- Cada caso cuenta con la autorización y consentimiento de publicación de su caso.









