Ortodoncia Sevilla
Dientes completamente alineados. Y una mordida perfecta.
Algo no te convence de tu sonrisa. Tienes los dientes torcidos, apiñados, separados, tu mordida no encaja,… Y buscas un tratamiento de ortodoncia en Sevilla en una clínica que te convenza.
Tal vez podemos ayudarte. ¿Te parece que te contemos más?
Dobleese > Estética dental > Ortodoncia Sevilla
Clínica de Ortodoncia en Sevilla
Transforma tu sonrisa con la ortodoncia que más encaja contigo
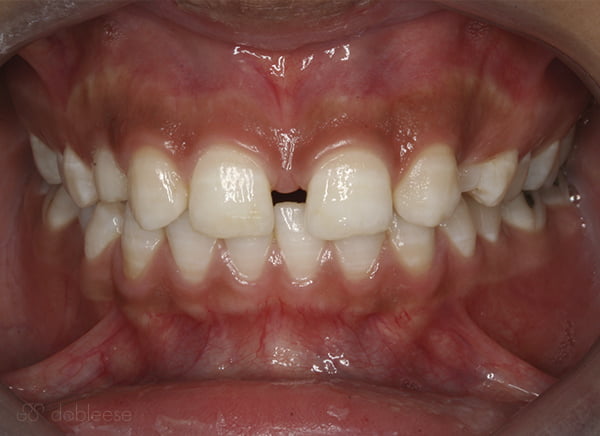
Conoce el caso de Embar
Embar se realizó un tratamiento de ortodoncia, implantes dentales en los incisivos laterales y blanqueamiento zoom.
Embar lleva con nosotros toda la vida. Desde muy pequeña han confiado en nosotros para tratar la malposición que tenía y la ausencia de los dientes vecinos a los incisivos centrales superiores que simplemente no le habían salido. Con el tratamiento de ortodoncia corregimos posición y abrimos huecos para poder colocar implantes. Tras reponer la piezas perdidas con implantes dentales y dientes en el día de la cirugía realizamos blanqueamiento zoom para finalizar el caso.





El proceso
Decidir es más fácil cuando tienes referencias
Consulta lo que nuestros pacientes quieren contarte acerca de su experiencia.
El mejor Equipo Profesional para el cuidado de tus dientes y encías. Desde las chicas de recepción(Nurita y Paulita que son Expertas en Excelente Atención al Paciente) hasta higienistas, odontólogos y Rocio de Ortodoncia que es un amor y me mima mucho con mi tratamiento Invisalign
Alain
Llevo muchos años asistiendo a esta clínica, me he hecho implantes, ortodoncia,… siempre con un trato genial, gran profesionalidad, y sobre todo he salido sin dolor.. La recomiendo al 100%
Juana Cantador
La respuesta a todas tus preguntas sobre ortondoncia
¿Tienes otras preguntas?
Estamos aquí para ayudarte. Despeja todas tus dudas antes de tomar una decisión. Te explicamos todo de forma sencilla y cercana.



