Periodoncia en Sevilla
Disfruta de unas encías sanas y bonitas
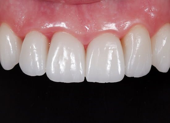
Las encías son un parte fundamental de la boca. A nivel de salud, soportan y sujetan los dientes. A nivel estético, unas encías sanas y bonitas realzan la sonrisa.
En Dobleese, como especialistas en periodoncia en Sevilla, contamos con una amplia experiencia en tratamientos de encías, cubriendo problemas de salud y estética de las encías.
Dobleese > Periodoncia
Clínica de periodoncia en Sevilla
Tratamientos para la salud y estética de tus encías.
Revisa tus encías con periodicidad
Descuidar la salud de tus encías puede derivar en pérdida de encía o problemas graves de periodontitis, pudiendo provocar incluso la pérdida de piezas dentales por falta de tejido periodontal. Asimismo, uno de cada tres adultos puede presentar periodontitis o piorrea. Es una enfermedad crónica y asintomática, que no tiene por qué doler.
Por ello, recomendamos acudir al dentista para revisar tus encías con periodicidad, sobre todo, en los casos de pacientes que presentan la enfermedad periodontal.





